
Porcelain Veneers
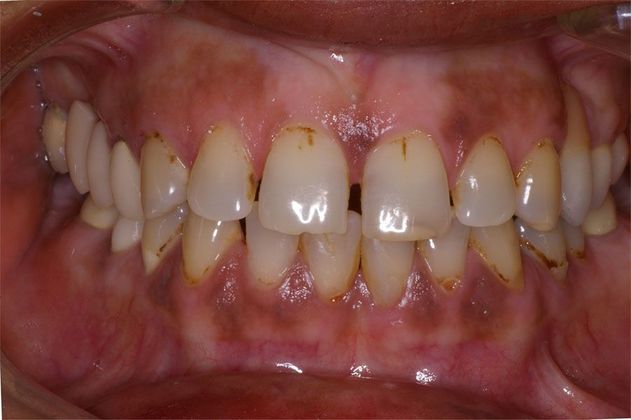
Stubborn discoloration, chips, and irregularly shaped teeth can take a toll on your confidence. They might even make you avoid smiling.
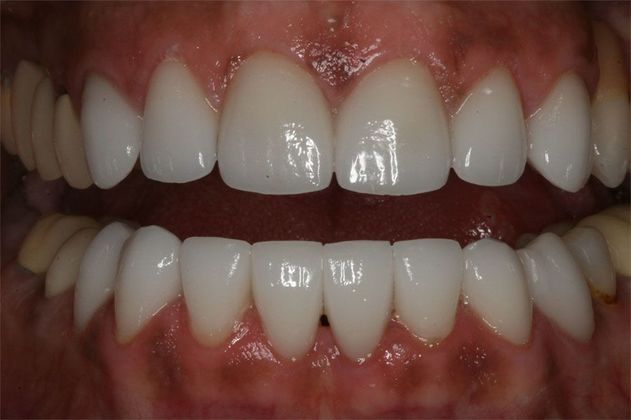
Dr. Patrick Casey offers custom porcelain veneers to mask these imperfections.
Find out why so many patients turn to Smile Montreal in Westmount, QC, for confidence-boosting porcelain veneer treatment.
Why Choose Us for Your Porcelain Dental Veneers?
Dr. Casey takes a caring, attentive, and technology-focused approach to cosmetic dentistry, providing the most precise and aesthetically pleasing results in the industry. Our team has decades of experience and goes above and beyond to ensure the comfort and satisfaction of each patient.
We maintain a legacy as one of the premier providers of cosmetic dentistry in our community because we provide superior results. You are in good hands at Smile Montreal. To book your porcelain dental veneers consultation, contact our Montreal, QC, office online, or call:
(514) 937-6558

Create the Smile You've Always Wanted
Unfortunately, cosmetic dental flaws can draw unnecessary attention and distract from your smile. With veneers, imperfections big and small can completely vanish. This cosmetic treatment allows you to refine your smile and help your natural beauty take center stage.
Am I a Good Candidate for Porcelain Veneers?
Porcelain veneers are an excellent solution for most patients who wish to conceal minor imperfections that do not compromise the structural integrity of a tooth. Our doctor will conduct an in-depth evaluation of your smile to determine if veneers are right for you. After examining your teeth, we will explain your options. Factors that may affect veneer candidacy include:
Oral Health
Patients should be in good oral health before undergoing any cosmetic procedures. If you have conditions like tooth decay, periodontal disease, or infection, we will need to treat the condition before moving forward with veneers.
Enamel
Prepping for veneers requires removing some enamel before the restorations are secured using dental cement. If you have very thin enamel and cannot safely have this tissue reduced, dental bonding (also known as composite veneers) might be recommended instead.Degree of Misalignment
If you have major gaps, crooked teeth, or a misaligned bite, traditional orthodontics may be a better treatment option.Bruxism
Bruxism, or tooth grinding, can put stress on your veneers, causing them to fracture prematurely. If you suffer from bruxism, we may suggest you wear a mouthguard while sleeping to protect your restorations.
Interested in Veneers? Request a Consultation
Veneers are a quick procedure that typically only requires two visits to our Westmount dental office. During the first visit, we'll take impressions of your teeth to send to the trusted lab we work with. During the second appointment, we'll place your veneers carefully on your teeth and ensure that you're happy with the final product before we send you off with your new and improved smile.
Meet our dentist and see if you're a candidate for veneers when you visit our Montreal dental office:
(514) 937-6558
How Dental Veneers Are Placed
Don't Be Nervous... You Can Preview The Results Before You Commit
Drs. Charles and Patrick Casey can create a wax-up model of your results to show you before you undergo treatment. These models replicate the effects of veneers on a wax replica of your teeth so you know exactly what to expect with the procedure. You can suggest changes for the final designs based on the previews, which we will be happy to accommodate.
The Porcelain Veneers Procedure
We partner with a world-renowned lab technician to craft veneers that are a near-perfect match to your natural teeth.
Want To Look Your Best For an Upcoming Event?
Get Started on Treatment Today
Thanks to advances in cosmetic dentistry, it has never been easier to enhance your smile. Modern porcelain veneers allow you to transform your teeth in just a few short weeks. This gives you plenty of time to correct dental imperfections before your next big party or reunion, so you can feel like the best version of yourself. Get started on your treatment today by contacting our dental office in Montreal, QC. You can reach us online, or by calling:
(514) 937-6558
An Amazing Experience!
"Dr. Patrick Casey and his team are extremely knowledgeable, professional, kind, and great at dentistry with state of art equipment. So happy I am in their care. Wish I found them 20 years ago." Micheline Syvret
See What Smile Montreal Can Do for You
Caring for Your Veneers
Practice Good Dental Hygiene
You should brush your teeth twice daily and floss once a day. You should also attend regular dental check-ups and professional cleanings.Minimize Pressure on the Veneers
You will need to avoid bad habits that could place undue pressure on your porcelain restorations. For example, biting your nails or using your teeth to open packages can crack your veneers.Avoid Foods, Drinks & Habits That Cause Stains
Once you receive a veneer, you will not be able to change its color. Porcelain is resistant to stains. However, your natural teeth can still become discolored, leading to shade discrepancies in your smile. The best way to maintain a bright, color-consistent smile is to avoid dark foods, drinks, and tobacco products that can stain your teeth.Create Your Dream Smile
To learn more about veneers and your smile makeover options, please schedule a consultation at our Montreal office. After examining your teeth, we can design your personalized cosmetic makeover plan. Send us a message or give us a call:











